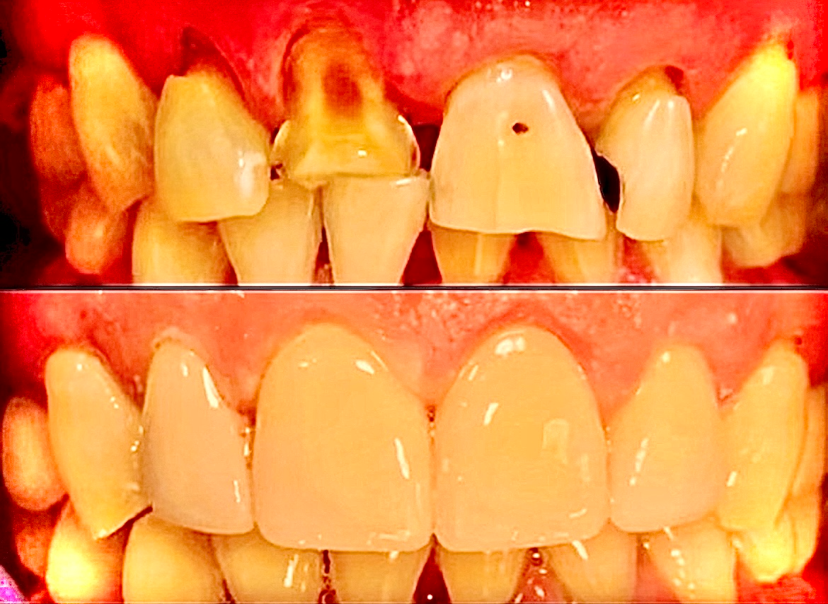
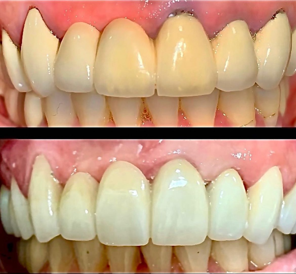
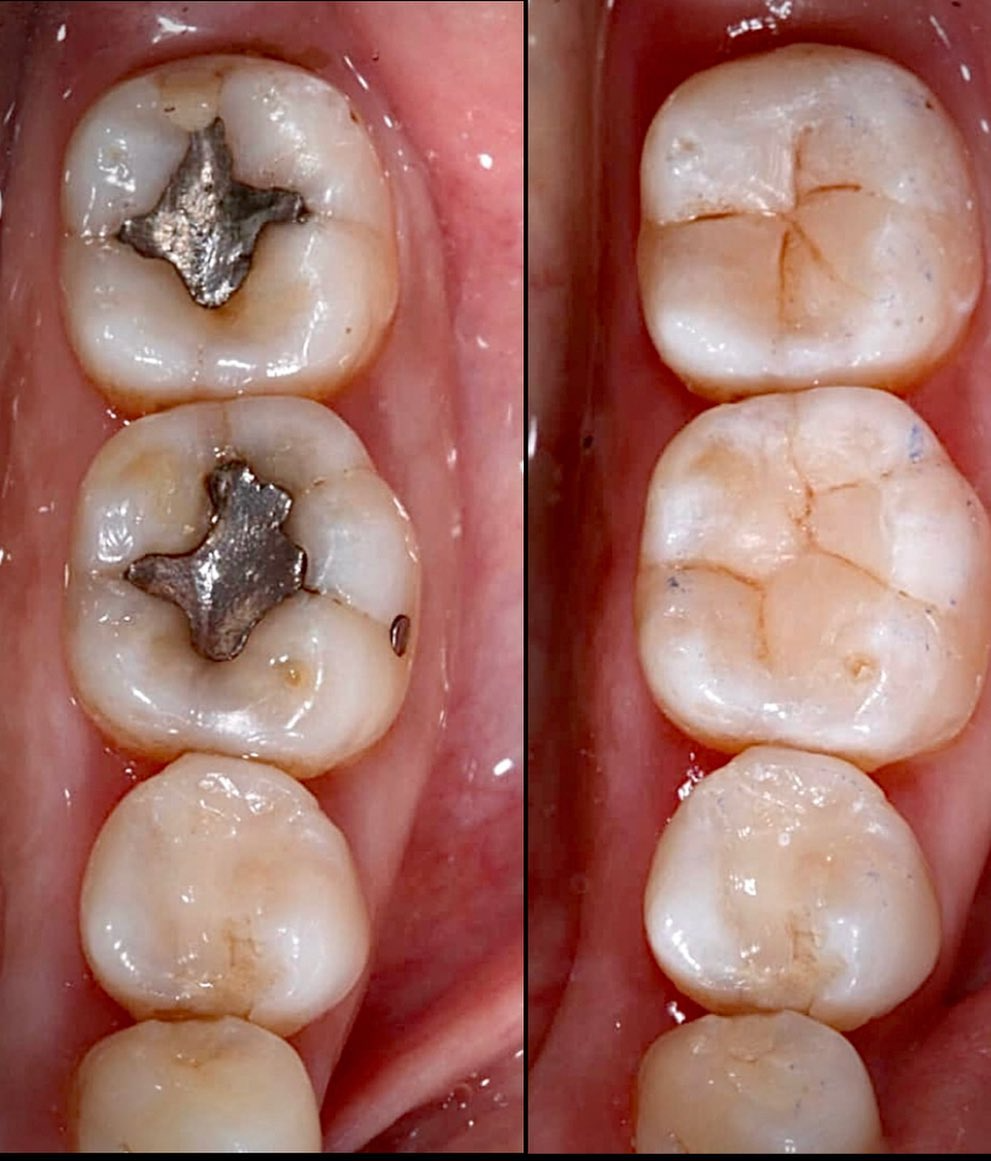
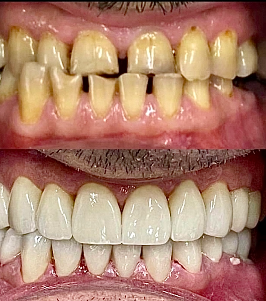
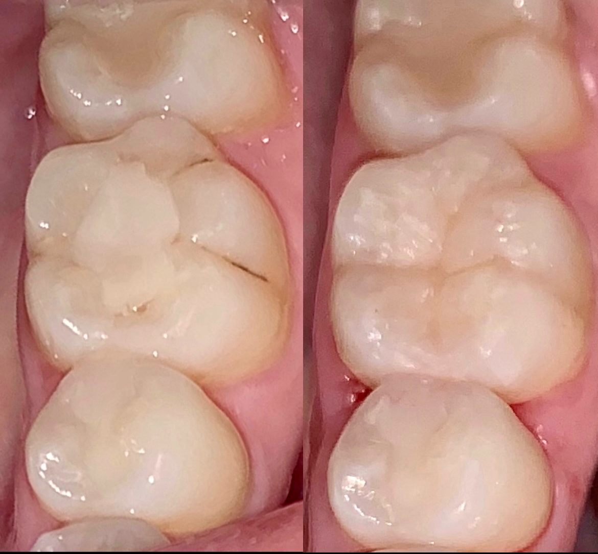
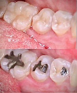
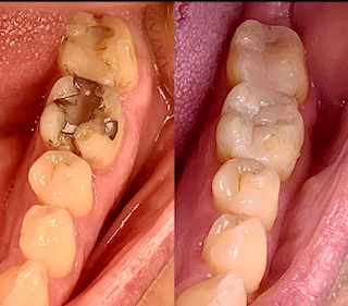
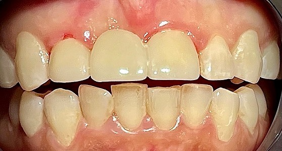
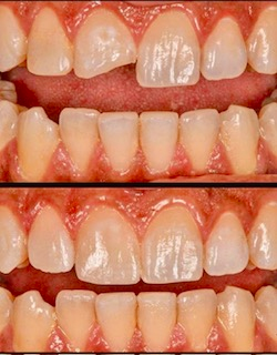
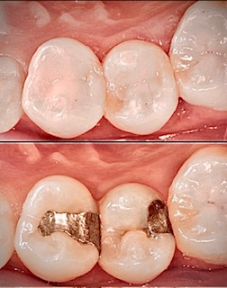
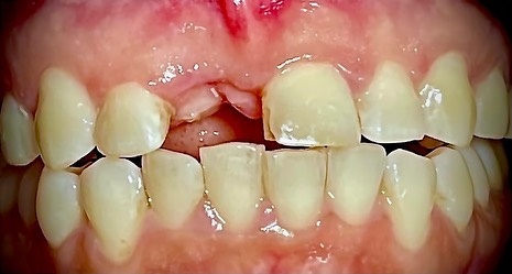
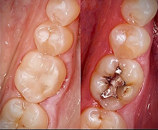
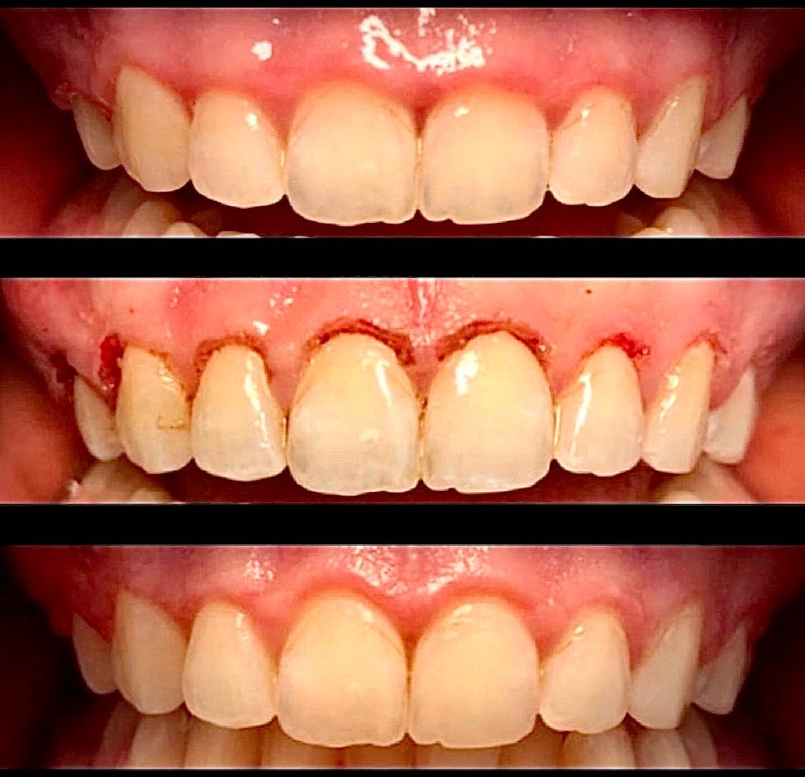
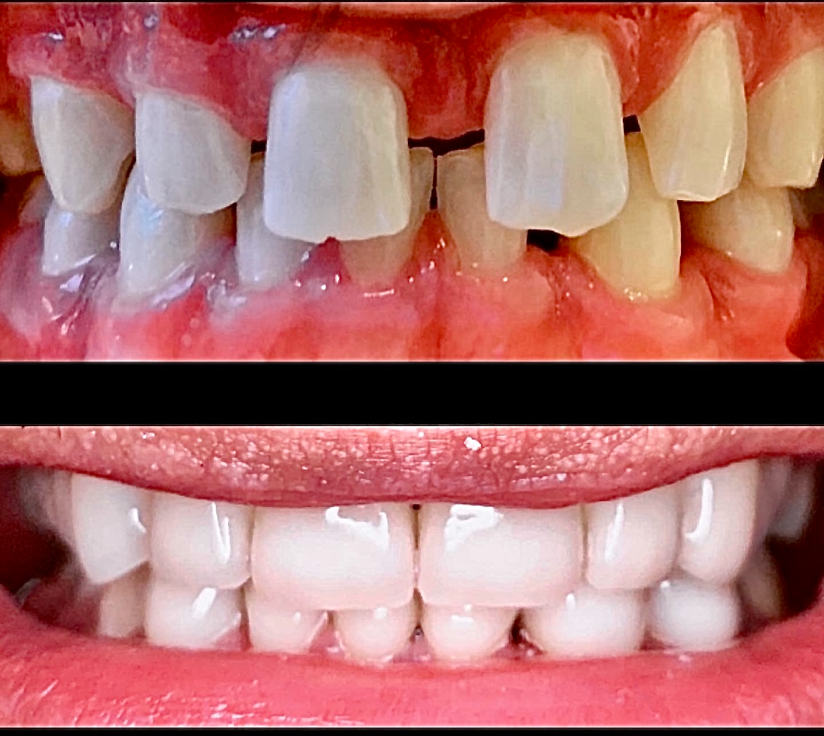
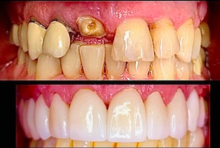
See the difference a healthy smile can make. At MedPlex Dental Holistic Dentistry, we take pride in showcasing real patient results in our gallery. Our holistic dentist in Orlando, Florida, use advanced techniques and a compassionate approach to create lasting transformations. View the work of Dr. Roberto Castellini and see what is possible. Call us at 407-351-2245 to begin your own smile journey today.